youtube FB twitter
  • فرع المنصورة : ميدان المحافظة خلف LC Waikiki
  • مركز القاهرة: التجمع الخامس

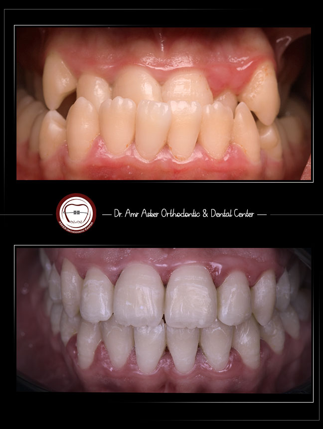
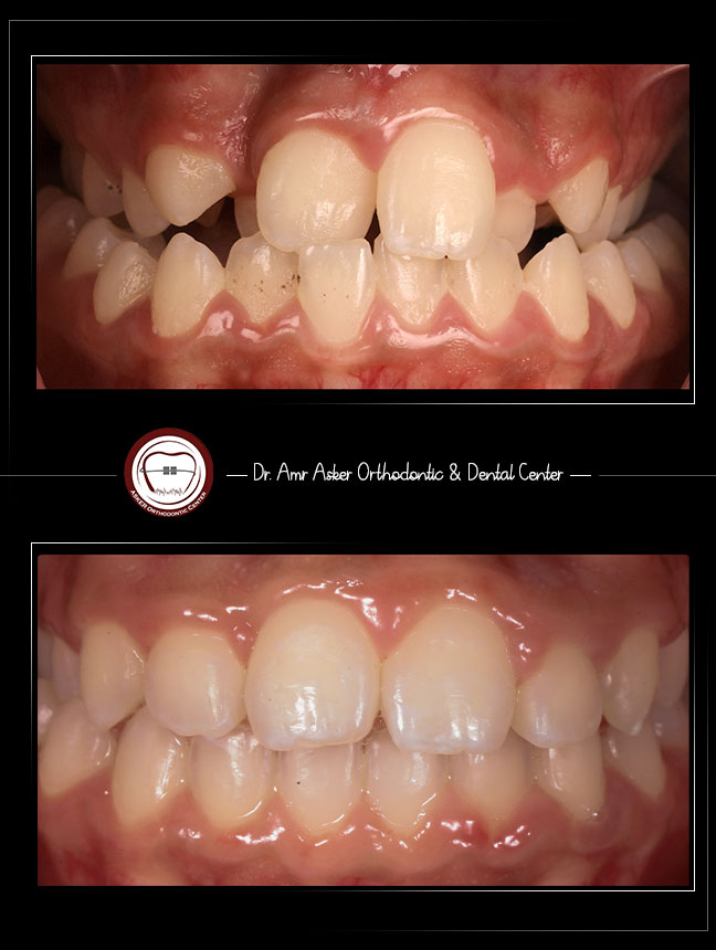
معرض الصور